4 bin TL’lik iddia! Acil serviste kim acil?
Kocaeli Körfez Devlet Hastanesi Acil Servisi’ne eşinin ayağında ya da ayak bileğinde çatlak şüphesiyle başvurduğunu belirten bir vatandaş, yeterli ilgi görmediğini iddia etti. Paylaşımda, acil serviste müdahale edilmediği gerekçesiyle özel hastaneye gitmek zorunda kaldığını, maddi durumunun iyi olmamasına rağmen 4 bin TL ödeme yaptığını öne sürdü
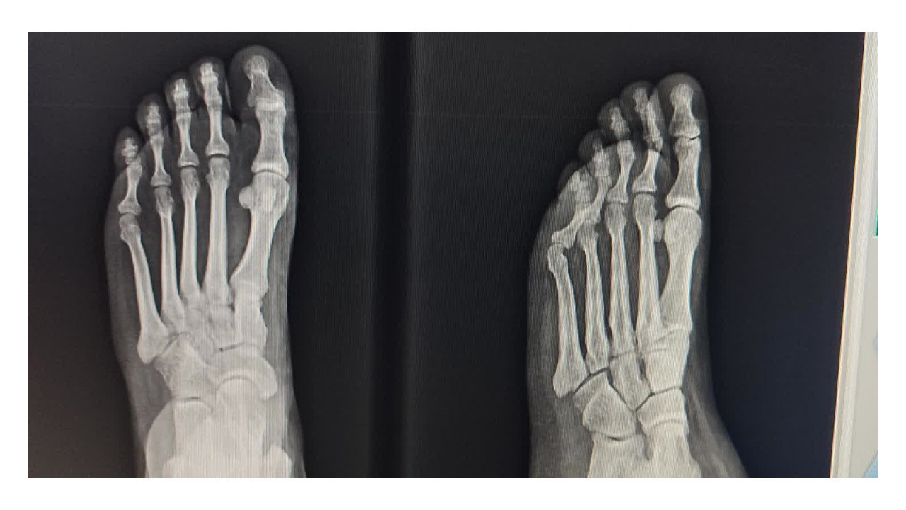
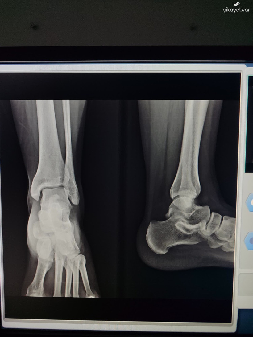
Kocaeli’de bir vatandaşın Şikayet Var adlı internet sitesinde yaptığı paylaşım, “Acil serviste kim acil?” sorusunu yeniden gündeme taşıdı. Körfez Devlet Hastanesi Acil Servisi’nde yaşandığı iddia edilen olay, sosyal medyada ve kamuoyunda tartışma yarattı. Şikayet Var platformunda yer alan paylaşıma göre olay, 13 Aralık 2025 Cumartesi gecesi saat 22.30 sıralarında Kocaeli Körfez Devlet Hastanesi Acil Servisi Triaj bölümünde yaşandı. Vatandaş, eşinin ayağında ya da ayak bileğinde çatlak olabileceği şüphesiyle hastaneye başvurduklarını ve acil olarak röntgen çekilmesi gerektiğini belirttiğini ifade etti.
“Maddi ve manevi yıprattı”
Ancak paylaşımda, triajda görevli biri kadın biri erkek iki personelin, iddiaya göre duruma yeterli ilgi göstermediği ve yalnızca yeşil alana yönlendirme yapıldığı öne sürüldü. Vatandaş, sürece ilişkin bilgilendirme yapılmadığını da iddiaları arasında dile getirdi. Paylaşımda yer alan iddiaya göre, eşinin yaşadığı ağrıya rağmen acil serviste gerekli ilgi gösterilmemesi üzerine özel bir hastaneye gitmek zorunda kalındı. Vatandaş, burada 4 bin TL ödeme yaptığını, maddi durumunun zaten iyi olmadığını ve bu durumun kendisini maddi ve manevi açıdan yıprattığını ifade etti.
Yeniden tartışmaya açtı
Şikayetinde, olayın yaşandığı gece görevli olduğu belirtilen acil servis triaj personeli hakkında inceleme yapılmasını talep eden vatandaş, yaşadıklarının hasta haklarına ve kamu hastanelerinde sağlık hizmeti alma hakkına aykırı olduğunu iddia etti. Yaşanan bu paylaşım, acil servislerde yeşil alan uygulaması, hasta önceliklendirmesi ve kamu hastanelerinde hizmete erişim konularını yeniden tartışmaya açtı.
Vatandaşın Şikayet Var’da yaptığı paylaşım şöyle:
“Acil Serviste İlgisizlik Ve Laubali Davranışlar Nedeniyle Mağduriyet Yaşadım
13.12.2025 tarihinde saat 22.30 sularında, eşimde kırık ya da çatlak olabileceği şüphesiyle Kocaeli Körfez Devlet Hastanesi Acil Servis Triaj Bölümüne başvurdum. Acil olarak röntgen çekilmesi gerektiğini belirtmeme rağmen, triajda bulunan bir erkek ve bir kadın personelin ilgisiz ve laubali tavırlarıyla karşılaştım. Durumu defalarca anlatmama rağmen, yalnızca yeşil alana yönlendirilmekle yetindiler ve sürece dair hiçbir şekilde yardımcı olmadılar.
Eşimin yaşadığı ağrıya ve aciliyetine rağmen gerekli ilgi gösterilmediği için mecburen özel bir hastaneye gitmek zorunda kaldım ve burada 4.000 TL ödeme yaptım. Zaten kıt kanaat geçinen biri olarak, bu durum beni maddi ve manevi açıdan oldukça yıprattı.
Bu nedenle, 13.12.2025 gecesi triaj bölümünde görevli ilgili acil triaj personeli hakkında gerekli incelemenin yapılmasını ve bu kadar ilgisiz ve laubali tavır sergileyen kişilerin görevden alınmasını talep ediyorum. Bu tutumun hem hasta haklarına hem de kamu hastanesinde hizmet alma hakkımıza aykırı olduğunu düşünüyor ve mağduriyetimin ciddiye alınmasını istiyorum.”

